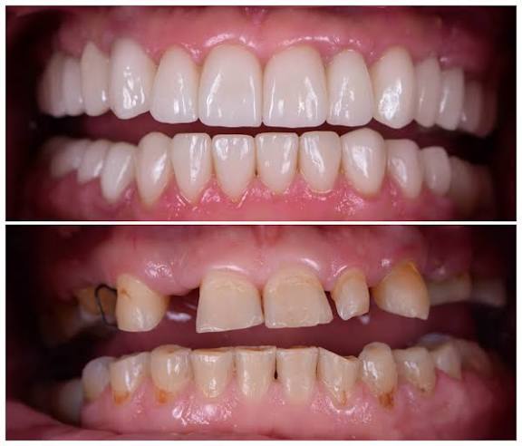
Comprehensive Full Mouth Rehabilitation
As a skilled dentist, we are provide Full Mouth Rehabilitation treatments to restore the health, function, and aesthetics of your entire mouth. With advanced techniques and materials, We help patients achieve a healthy, functional, and beautiful smile.
Common Causes that May Require Full Mouth Rehabilitation:
– Extensive tooth decay or damage
– Advanced gum disease or periodontal disease
– Multiple missing teeth
– Worn or worn-down teeth
– Trauma or injury to the mouth
– Desire for a complete smile makeover
Benefits of Full Mouth Rehabilitation:
– Restores oral health and function
– Enhances smile aesthetics and confidence
– Improves overall quality of life
– Long-lasting and durable solution